
Neurofibromatosis type 2
Neurofibromatosis type 2 (NF2) is a rare condition inherited as an autosomal dominant
disorder (incidence about 1 in 40 000). The NF2 tumour suppressor gene encodes the
FERM domain protein (Merlin), which promotes the formation of intercellular contacts
and regulates cell proliferation. The diagnosis is confirmed, if the individual has bilateral
vestibular schwannomas or a family history of NF2 in a first-degree relative plus a
unilateral vestibular schwannoma diagnosed by age 30 or any two of: meningioma,
glioma, schwannoma, juvenile posterior subcapsular lenticular opacities/ juvenile
cataracts.

Symptoms :
• Café au lait spots: rarely >5, so do not meet criteria for NF1.
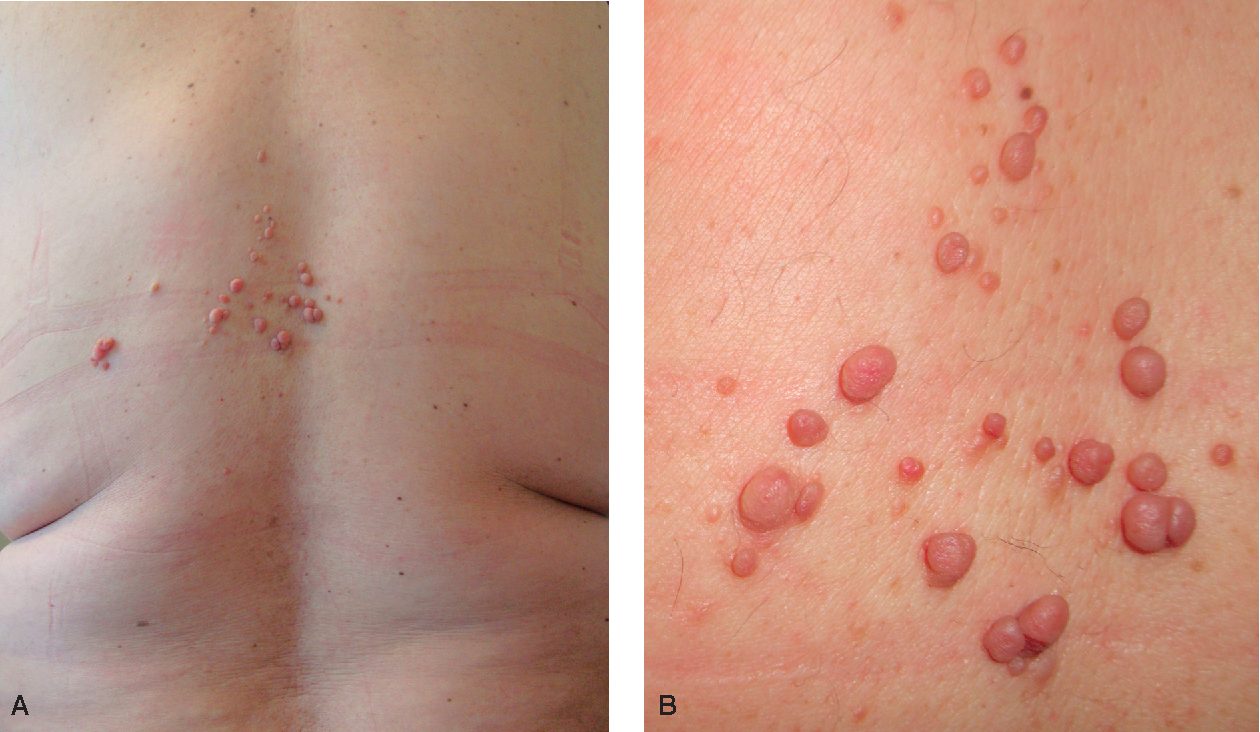
• Peripheral nerve tumours: less frequent than in NF1. Most often small (<2cm) discrete
plaques with a rough surface (may be pigmented or hypertrichotic) or subcutaneous
schwannomas. Dermal neurofibroma-like tumours are uncommon and few in number.
Segmental neurofibromatosis 1
• Patients mosaic for a somatic mutation in the NF1 gene have features of NF1 limited to
one or a few body segments. Children may present with unilateral lentigines in the axilla
or groin or a group of café au lait spots anywhere on the body.
• The clinical features are determined by the timing of the mutation during the
development of the embryo, but it is unusual to see both neurofibromas and café au lait
spots. The segmental bands of neurofibromas probably follow the dermatomes, but
pigmentary changes are more likely to follow the lines of Blaschko.
• Such patients rarely experience the complications found in generalized NF1 but should be
advised about the low risk of having a child with generalized NF1.
