• 352

Tên gọi khác : Anderson–Fabry disease; angiokeratoma corporis diffusum.

Các dấu hiệu trên da có thể là biểu hiện sớm của bệnh tích trữ lysosome liên kết X hiếm
gặp này do thiếu hụt α-galactosidase A. Globotriaosylceramide tích tụ trong các tế bào
nội mô, cơ trơn mạch máu, nguyên bào sợi da và cơ dựng lông, cơ tim, tế bào biểu mô
giác mạc và các cơ quan như thận, tim, phổi, ruột và mắt. Các biến chứng bao gồm bệnh
thận, đau thắt ngực, nhồi máu cơ tim, cơn thiếu máu cục bộ thoáng qua và đột quỵ. Đau
thần kinh nghiêm trọng gây ra trầm cảm hoặc thậm chí tự tử. Trước khi liệu pháp thay thế
enzyme được áp dụng, nam mắc bệnh Fabry tử vong ở độ tuổi khoảng 40–50, và tuổi thọ
trung bình bị rút ngắn ở những người nữ mang gen dị hợp tử. Những bệnh nhân bị u
mạch sừng hóa và giãn mao mạch ở da có nhiều khả năng bị ảnh hưởng đến các cơ quan
quan trọng. Tỷ lệ mắc bệnh có thể cao hơn so với những gì đã biết trước đây, ví dụ: 2–5%
bệnh nhân bị đột quỵ không rõ nguyên nhân có thể có dạng nhẹ hơn. Liệu pháp thay thế
enzyme có thể cải thiện chất lượng cuộc sống bằng cách làm giảm các triệu chứng, chẳng
hạn như đau, và làm chậm quá trình tiến triển của bệnh, nhưng không có tác dụng chữa
khỏi bệnh.

Thông tin cần tìm hiểu thêm :
• Bệnh nhân phàn nàn về cơn đau thần kinh dữ dội (đau nhói, nóng rát) ở các chi (khởi
phát từ thời thơ ấu, liên quan đến bệnh thần kinh sợi nhỏ). Tập thể dục, nhiệt độ cao và
rượu làm cơn đau trở nên tồi tệ hơn.
• Giãn mao mạch không triệu chứng và các nốt sẩn đỏ sẫm (u mạch sừng hóa) có thể xuất
hiện ở trẻ em và trở nên nhiều hơn theo tuổi tác.
• Giảm tiết mồ hôi (50% ở nam, 28% ở nữ) hoặc không tiết mồ hôi (25% ở nam, 4% ở
nữ) gây ra chứng không dung nạp nhiệt. Bệnh nhân có thể ngã quỵ sau khi tập thể dục.
Hiếm khi, bệnh nhân nhận thấy bị tăng tiết mồ hôi.
• Các vấn đề khác bao gồm mất thính lực, mất thị lực, buồn nôn, đau bụng và tiêu
chảy/táo bón từng đợt, nhưng biểu hiện rất khác nhau.

Triệu chứng có thể gặp :
• Các đặc điểm trên khuôn mặt: nam có gờ trên ổ mắt nổi rõ, gờ trán và môi dày.
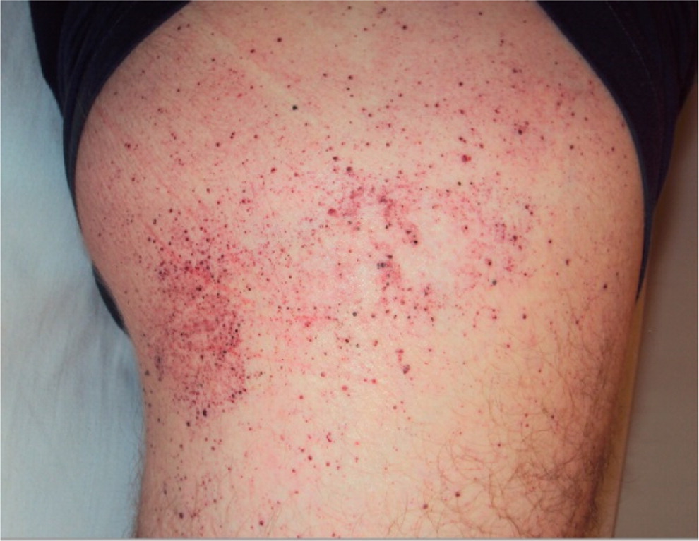
• U mạch sừng hóa (sẩn mạch hơi sừng hóa, giống như nốt Campbell de Morgan) ở đùi,
hông, mông, bộ phận sinh dục, lưng dưới và bụng, tức là giữa đầu gối và rốn theo kiểu
phân bố "thân tắm" (66% ở nam, 36% ở nữ).
• Giãn mao mạch, các dát và/hoặc sẩn mạch máu phân bố rải rác ở các vùng khác, ví dụ
như lòng bàn tay và lòng bàn chân, ngón tay và ngón chân, nếp gấp móng tay, viền môi
và niêm mạc môi.
• Phù/phù bạch huyết có thể hồi phục ở các chi dưới (16–25% ở nam, 6–17% ở nữ).

Call Now Button